安定感が高く、咀嚼しやすい義歯を目指せます
精密義歯治療の特徴は、材料はもちろん保険適応の材料と異なる高品質なものになりますが、それぞれの患者さんのお困りごとに合わせて義歯を作り込んでいくことに最大の特徴があります。
本当に義歯で噛めるのだろうか?もっと外れない入れ歯はないのだろうか?などが多くある義歯の困り事です。
精密義歯治療は、何か一つ高価な義歯を製作すればそれで全てが改善出来るという「物」を販売しているわけではありません。
検査により見えていない問題点を見える化することで、問題点にアプローチしながら、治療を進めていきます。
治療の進行に伴い歯肉や顎関節、周囲の筋肉が反応して変化してきます。
生体が順応する期間を待つ必要もありますので、期間はかかります。
ただこれは保険治療の制度で行う義歯製作では行えない内容です。
つまり保険治療で製作される義歯は、現状を変更することなく(問題点に対応するわけではなく)一発で義歯を完成させるというものですので、精密義歯治療の工程とは全く異なります。
そして場合によっては歯がある方よりよく噛めるという様な義歯に仕上がることもあります。
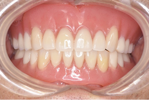
81歳、上下精密義歯


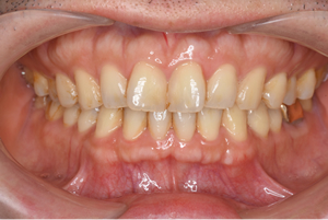
院長(46歳、欠損なし)


*ほぼ同じ値ですが、 上下精密義歯装着者の方が、私より高い数値が出ています!!
治療用義歯を使用し、
将来的な難症例への進行リスクを低減
ご自身に合っていない義歯や、強度が足りずたわんでしまうような義歯を装着していると、その代償としてご自身の顎骨(歯肉)が、やせていくことが分かっています。
これは急速に進行するわけではないので、ご自身では自覚はありません。
義歯が安定しなくなった時点で自覚され、そして新しく義歯を作り直そうと思われても、その時は単に新製しても問題が解決せず、以前になかった義歯の問題が噴出するということはよくあります。
知らない間に、一度やせてしまった顎骨は増えることはありません。
顎骨がやせた場合は、義歯の難症例となり、治療自体も妥協的に終了せざるを得ない場合も増えてきます。
精密義歯治療で用いる治療用義歯は、ご自身の顎骨、歯肉への将来的な負担を減らす目的で 使用します。
負担が減れば、最終的に製作する精密義歯も成功率が上がり、かつより長く使って頂ける可能性が高まります。
歯がある人


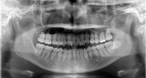
精密義歯装着5年後


顎の骨の高さが維持されています。
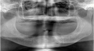
何年も義歯に問題を抱えて来院された方


大きく骨が吸収しています。これ以上吸収すれば、骨折の危険性もあります。
噛める義歯は認知症、寝たきり予防にも繋がる
認知症の発症や将来的な要介護の要因には、実は口腔機能が直接、間接的に深く関わっています。
一度介護が必要になれば、そこから回復するということはまず不可能ですし、ご家族の生活環境の変化も余儀なくなる場合もあります。
以前は義歯と健康寿命の関係はあまり言われていませんでしたが、噛める義歯が認知症予防ひいては要介護の予防にも繋がるということがいろいろな研究で近年わかってきました。
精密義歯治療の主目的は、口腔機能の回復と維持にあります。
そのため精密義歯を装着後、健康になったようだ、などの身体についての感想をよく頂くようになりました。
健康寿命が延伸されれば、ご本人のみならず、ご家族等の周りの方への好影響も大きいかと思われます。
そのため治療に際しては、ご本人のみならず、ご家族の方のご理解と協力をお願いしています。
不謹慎かもしれませんが、人間必ず亡くなります。
寝たきりにならず、ピンピンコロリで人生を全うするには口腔機能の回復・維持が深く関わっていると強く言われ始めていますし、私自身も自分の身内で同じ体験をしました。
このような口腔機能と全身の関係について論文は多数(200本以上〜1000以上かも)存在します。
その中から二つ紹介します。
「よく噛めば、ボケない」
「よく噛めば、ボケない」と聞いたことはありませんか?
それが、科学的に証明されている論文です。
図4は80歳以上の方で、歯が20本以上残っている人、1本も歯がなく義歯を入れていない人、総義歯を入れている人が、咀嚼した際の脳活動(赤の部分)を表示したものです。
歯がなく義歯を入れていない人は脳があまり働いていないことが分かります。
このことから、義歯による咀嚼機能の回復は、脳活動を回復させる可能性があることを示しています。
もちろん個人差もあるため全ての人でというわけではありませんが、この論文では適正な義歯を装着することで咀嚼機能のみならず、高次脳機能にも好影響を及ぼす可能性を論じています。
参考文献
小林 琢也,近藤 尚知.口腔機能の障害は脳機能活動にどのように現れるか.2015

歯科医療・口腔保健と健康寿命
いろいろな研究から引用されて書かれているこの論文には次のようなことが書かれています。
- 女性では義歯装着者群は非装着者群に比べて1.4倍の生存率である。
- 歯数が多い者では,糖尿病,がん,脳血管障害などの発病リスクが低下する。
- 歯科で歯石除去などの歯周病治療を受けている者は,受けてない者に比べ約20%心臓血管疾患の発症が少ない。
- 65歳以上で何でも噛める者に比べ噛めるものに制限がある者は、要介護状態になるリスクが1.3倍に高まる。
- 歯が20本以上ある者に比べて自分の歯がほとんどなく義歯も使っていない者は1,9倍認知症になるリスクが高い。
- 噛めないことで低栄養になり、口腔機能の衰え(オーラルフレイル)の見られる者はそうでない者に比べて、身体的フレイルで2,4倍,生存率で2,2倍リスクが高まる。
- 50歳代においては歯を1歯失うごとに2,4%医科医療費が上昇する。
- 歯の喪失は、食事の多様性を低下し、特定の栄養素と食品群の摂取量の低下を引き起こす。そのことがひいては全身に影響する。
これらを整理されたのが、図3になります。
個人的な経験からは、咬めない方は、食事の味つけが濃くなったり、濃い食品を好まれる方が多いように感じます。
そのことで塩分摂取の増加を招き、高血圧等の生活習慣病の発症リスクに繋がっているのでは、と思います。
参考文献
深井 穫博.健康寿命の延伸と歯科口腔保健
