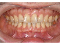
検査によって口腔内の状態を『見える化』
見えないことを見える化することから、治療は始まります!!
今まで通院されていた歯科医院で、義歯治療の前に何か検査をされたことはありますか?
正確な診断、そして治療計画の立案の為には、十分な検査が必要なのは、義歯治療にも言えます。
しかしながら医科に比べて歯科(特に義歯治療)は残念なことに歯科医師側、患者側の双方とも検査に対する認識が低いと言わざるを得ない現状があります。
検査の重要性とその意味
検査によって口腔内の状態が分かれば、治療に際してどんな準備が必要か見えてきて、対応も患者さんごとに変わります。
逆に検査をしなければ、どの患者さんも画一的に対応するしかなく、上手くいく人も出れば、上手く行かない人も出る事になります。
検査によって見えてくる「最小限の治療」
補綴検査によっては、治療回数も最小で、それほどこだわって義歯を製作しなくても十分と分かる場合もあります。
短期間で治療が終了することは、患者さんも通院回数が減らせ、医院側にとって、他の患者さんに対応できるため、双方にメリットは大きくあります。
しかし実際、検査をすると本当に早期に治療を終了させることが、歯科医学的な観点から妥当と思われる症例は、あまり多くはありません。
つまり、回数優先で治療を終了させる場合は、妥協的に治療は終了とせざるを得ないということです。
通院事情と妥協の治療について
通院に関わる個人の事情(費用、回数など)を優先させ、治療結果を妥協することは本当に正しいことかどうかについては、正確な答えありません。人それぞれの問題です。
ただそれについても検査をしないと分かりません。
何も調べず、早く治療が終わって、全ての人で結果もよく、という魔法のような方法はありません。
検査を行う方が、すべきことが明確になり、結果として必要な治療は最短で終わります。
当院での検査体制について
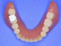
そのため、当院で義歯治療を始める患者さんほぼ全てに、必要最低限の基礎基本検査をさせて頂いております。(口腔内写真、研究用模型など)
さらに調べておく必要のある場合には咬合検査・咀嚼機能検査などを説明の上、行います。
なぜ歯科では検査が行われないのか?
ではなぜ医科では検査のために入院することがあるくらいなのに、歯科(特に義歯治療)では検査が行われないのでしょうか?
それは多くの検査が保険適応になっていないこともありますが、検査をするには、専用機器の導入、その検査結果を活用するために知識向上の学習努力が常に必要など、様々なハードルがあるからです。
検査を活かすための努力
ご自宅や職場にも買っても使わないものってあると思います。
それはだいたい使い方がわからないからです。
同じことで検査機器を導入すれば話が終わるということはありません。
当院は検査を実施するためだけにでも年間100時間程度の研修を何年も受講しております。はっきり言ってかなり大変です。
検査は治療の「道標」
ただそれ以上に治療に際して、検査は、患者さん、術者双方にとっても治療の『道標』となる重要なものです。
それでも必要最小限の検査もせずに治療だけという希望の方は、見えないことを見えないまま治療することになりますので、当院で治療されるメリットはあまりないかもしれません。ご理解のほどよろしくお願いします。
咀嚼能力測定

下顎運動分析

口腔内写真

咬合力測定

EMG

ムーカス

咬合接触分析

主機能部位検査

研究用模型

CBTD

舌圧測定

診断後、リハビリからメンテナンスまで最適な計画を立案します
診療計画策定の実情
診察の目的とは、正確な情報を得て、正しい診断を下し、的確な治療を行い、その正当性をチェックすることにあると、言われています。
つまり初診時に患者さんを一見しただけで、わかることはあるようなだけで、実はわかっていないことが多いということです。
ドラマとかでもありますが、医科ではチームカンファレンスといって、いきなり外科治療するのではなく、診療時間外に医局員で診療計画を話し合う会議があります。
歯科治療のほとんどは、医科で言う外科治療に相当するものです。
それぞれの患者様の検査を行った後に診断を下し、治療計画を立て、そしてそれが妥当かどうかを歯科医師一人で再確認することは、難しいことで、 診療時間中の数十分では判断できない場合の方が多くあります。
当院では、検査・診断を重要視し、診療時間外で一度しっかり考察してから、説明にあたるため、来院初日に患者様にお伝え出来ることより出来ないことの方が多くあります。
検査後の次の来院時に説明の時間を設けさせていただいております。
一人の患者様の診療計画を立てるのに、平均1時間〜3時間、場合によっては数日かかる場合もございます。
そのため、検査後の次の来院には、10日〜2週間程度の間隔を頂いております。
そうすることで、診療計画の精度が格段に上がります。
早く治療を進めてとご希望の方もお有りかと思いますが、最短で効率よく成功率の上がる治療を進めるには不可欠な工程です。
その診療計画に基づき様々な方法を駆使して治療に当たります。
ご理解のほど、よろしくお願いいたします。
義歯治療はリハビリテーション
義歯は義手、義足と同じ部類のものです。
義手、義足の場合は、整形外科医、義肢装具士、理学療法士という国家資格を持った方が複数人携わり、リハビリテーションまでを手助けされます。
義足を装着しただけで、すぐに歩けるようになるという方は、なかなかおられないのではないでしょうか?
義歯も同じで、装着したらそれで終わりということは本来であれば、あり得ません。
保険制度上の問題から妥協的に装着したら治療を終わらせているという場合も多くあります。
それは本当に身体のことを考えた対応かと言えば、大きな疑問が残ります。
義歯が使いこなせない状況のままであれば、実はご自身の歯肉や顎骨に大きな負荷を与えてしまっている可能性もあります。
一度失った、ご自身の組織(歯肉、顎骨、歯)は元に戻ることはありません。
義歯装着後のリハビリテーションを十分に行うことで、ご自身の体の強化がはかれ、結果、口腔内の環境を悪化させずに維持できるということが、本来の義歯治療の目的の一つです。
当院では、検査機器を駆使しながら、広い視野を心がけて現状のみならず、未来のことも含め、診療計画を立案しています。
また義歯も人工物です。一度作製した義歯をすぐに作り替えるということは、ほとんどありませんが、経年劣化します。
そのためメインテナンスを行うことで、少しでも長く使って頂けるように、対応していきます。
治療の押し付けをせず、インフォームドコンセントを重視します
患者本位の医療を目指して
診療方針の決定に際しては、患者様のご要望を加味しています。
これは近年、医療では見直されている部分で、医学が発展してもその観点ばかりだと、治療の押し付けになり『病をみて人を見ず』とうことになりがちです。
全て患者様の言うようにということは、病状から鑑みて無理な場合もありますが、その場合でもまず一度すり合わせを行い、妥当な着地点がないか考えます。
初診時に治療方針を即答できない理由はここにもあります。
また当院ではご要望に対応できないと思われる場合には、高次医療機関の紹介も可能です。
説明に際して
歯科医師、歯科衛生士が治療の説明にあたります。
歯科医師に聞きにくいことなどありましたら、歯科衛生士にお伝え下さい。
また一度説明を聞くだけでは、わかりにくいこともあると思います。
その場合は、ご遠慮なく再度、質問して下さい。何かよく分からないまま治療が進んだり、よく分からないので歯科医院に任せて言いなりという場合だと、大きなトラブルの元にもなり、結果、ご本人やご家族、医院双方、また他の患者様の治療進行にも悪影響を及ぼします。
当院では治療の押し付けはしておりません。
無理やり行なった治療でトラブルになったりすれば、自分自身、医院のスタッフの精神衛生上も大きな問題になります。
また治療の成功には患者様の理解が必要条件となります。
100%大丈夫という治療は存在しません。
治療のメリット、デメリット、リスクなどよく理解されて治療に臨まれて下さい。
補綴研修施設所属で、学会参加・発表など研鑽を重ねています
検査技術・治療技術向上のための取り組みについて紹介
自己研鑽、それは歯科医師には必須のことで、多くの歯科医師が当たり前のように、休日は自分の時間を割いて、費用を費やし、勉強や診療準備をしています。
スマートフォンは購入すれば自動的にアップデートされますが、歯科医療知識・技術は自分からアップデートを行わない限りできませんし、場合によっては劣化します。
また治療の考え方などは、教科書的なことも後に否定されることもあり、歯科医師である限り常に研鑽は欠かせません。
歯科の世界にもアップデートの方法も様々あり、私もいろいろな方法を過去に試し、失敗もしました。
方法を間違えると研鑽したものの、独自の考えが発展しているだけとなってしまう場合もあります。(実は歯科の世界では非常に多いパターンだと思います)
現在、当院の義歯治療の対する診療理念としては、論文ベースの科学的根拠に基づき、症例ごとにしっかり考え、そして丁寧かつ確実に行えるようになることを目的に、補綴歯科治療の日本でのトップランナーである先生に師事した上で、それに適う学会や研修会、臨床研修施設への参加・活動を行い日々研鑽を行っています。
当院で対応可能な診療科目については今後もさらに追求し、精度を高めます。
インプラント学会そのため毎月3〜4度、研修に参加のために診療をお休みさせて頂いております。
ご予約が取りにくい場合もございますが、ご理解・ご協力のほどよろしくお願いします。


