ミラクルデンチャーとは
中川先生(大阪)が考案・開発され特許取得をされた義歯(登録4873741)で、ミラクルタッチ(商標・特許取得)という装置を使用します。
独自の発想から生み出された義歯で今までの義歯とは全く異なります。
どの歯科医院でも対応可能ではなく、取り扱い医院になるためには、中川先生の講習を受講後、筆記試験を通過しミラクルデンチャーに特化した研鑽を積む必要があります。
製作には専門の技工所(ミラクルラボ)のみでの発注になり、保険適応外の義歯となります。
2024年時点で奈良県では12件の歯科医院のみでの対応が可能です。
特にミラクルデンチャーは以下のような症例に有効です
- 義歯の金属部分が従来より目立ちにくくして欲しい方
- 義歯の外形を小さくしたい方(上顎口蓋部分)
- 歯を削合することなく、義歯を製作したい方
- 歯の傾きや位置の問題から、従来の義歯では対応が難しい方
当院では、詳しい検査の後に、「ミラクルデンチャー」、「精密義歯」、「アタッチメント義歯」、「ノンクラスプ義歯」、「コーヌス義歯」、「インプラントを応用した義歯」などの中から、状況・ご要望に最も適う義歯をご提案します。
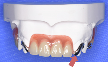
症例1:上顎 前歯、左右臼歯の複合欠損症例
正面
前歯4本が欠損している
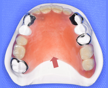
噛み合わせ面
前4歯、右側2歯、左側2歯が欠損している
通常の保険適応義歯の場合


欠損部分に隣接している歯にクラスプと呼ばれる金属製のひっかけがかかります。

上顎(口蓋部分)を覆うレジン(プラスチック)製の広いフレームが必要となります。
義歯の強度がないため、義歯がたわみます。
そのことで残存歯への負荷が増えて、残存歯をいじめてしまい、さらに欠損を拡大させてしまう要因となります。
少しでも義歯自体がたわまないようにするために義歯を分厚く、大きく製作することが保険適応義歯での基本となります。
レジン製(プラスチック)で強度が確保できないため、薄くすると破損リスクが更に上がります。
無理に外形を変更するとその後、何らかの悪影響が必ず生じます。
ただし安価で製作できることがメリットです。
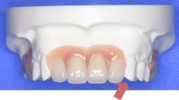
ミラクルデンチャーの場合


特殊な維持方法により、クラスプがなくなりました。

内部に補強構造を入れることで上顎(口蓋)部分が小さくなりました。
保険適応義歯とミラクルデンチャーの比較
保険適応義歯
ミラクルデンチャーFitⅢ
FitⅢは、ミラクルデンチャーの中での
最もスタンダードな義歯となります。
金属の見え方に注目
上顎を覆う部分の広さに注目
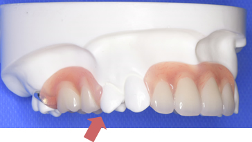
ミラクルデンチャー FitV
ミラクルデンチャーFitⅤは、金属フレームを用いることで、義歯の強度を向上させ、さらに薄くすることができます。
そのため破損には強くなり、装着感が向上するため、発音や飲み込みに有利な義歯となります。
見えない部分に用いるため審美性の影響はほとんど出ません。
FitⅤ(白金加金)はミラクルデンチャーの中でも最も優れた義歯です。
ミラクルデンチャーのメリット
01.クラスプ(義歯の維持のための金属部分)が少なく目立たない
ミラクルデンチャーでは独自の発想からクラスプは、二つないし一つで義歯を維持させる設計が可能です。
02.上顎部分を小さく出来る
FitⅢ、Ⅴでは内部に金属の補強を使うため義歯の強度が確保でき、従来より小さく製作することが可能です。
ただし欠損歯数が多くなれば無理な場合もあります。
FitⅤの方がより薄くでき、強度も向上します。

多くの場合で残存歯の傾き、不揃いが生じやすい
今回提示した模型では、歯はきれいに並んだ状態ですが、欠損歯が多い場合、多くの症例で残存歯は位置が変わり傾いてしまったりと通常義歯が設計しにくい状況となります。
通常の方法では、残存歯の抜歯や歯冠補綴が必要で治療期間や費用が増加する要因となりました。
ミラクルデンチャーでは独特の発想(着脱方向についての今までにない発想とそれを具現化できる特許装置)から多くの場合で残存歯は極力そのままで義歯を製作することが可能になります。
ミラクルデンチャーのデメリット
01.着脱については、注意して行う必要あり
ミラクルデンチャーは、歯の根本部分を抑える設計となります。
そのため装着されれば残存歯への負荷は少なくなります。
ただし着脱時には注意して行って頂く必要があります。
症例ごとに外し方は異なりますので装着時に説明させて頂きます。
02.内面の調整が定期的に必要 義歯装着時、また装着後に定期的に内面の調整が必要となります
ただし通常の義歯でも調整は必要です。
03.対応可能な歯科医院が少ない
遠方から来られる患者さんなどで、調整等はお近くの医院でして頂くということは無理な場合が多いと思われます。
(ミラクルデンチャーは特殊な義歯のため 取扱い出来る医院が少ない)
費用について
保険適応外の義歯になります。
ただしインプラントよりは費用を抑えることが可能です。
保険適応義歯については、銀歯1本と義歯の費用はほぼ同じ評価ですので、そもそも審美面や機能面を期待できるものではありません。

保険適応義歯: 義歯の保険での評価は低く、10本以上歯がない場合でも、1本の銀歯と同じ程度となります。

ミラクルデンチャー1装置とインプラント1本のイメージです。
ただし本症例で全てをインプラント治療行う場合は、欠損に対応した本数である6〜8本のインプラントが必要なため250万程度の費用が必要となります。
ミラクルデンチャー初回相談料 3,300円(30分)※保険適応外
| ミラクルデンチャー | 片側 | 両側 | 対象 | 保証期間 |
|---|---|---|---|---|
| フィットⅠ | 220,000円 | 275,000円 | 金属アレルギーの方 | 1年 |
| P7(白金加金) ※設計による |
264,000円 ~330,000円 |
最後方臼歯欠損 | 2年 | |
| フィットⅢ | 308,000円 | 352,000円 | 1番のおすすめ | 2年 |
| 難症例加算 | +33,000円 | |||
| フィットV(コバルト) | 495,000円 | 605,000円 | 薄い義歯を希望の方 | 3年 |
| フィットV(白金加金) | 660,000円 | 770,000円 | 薄くて体に優しい | 5年 |
| 難症例加算 | +55,000円 |
金属価格の変動等により医院価格は変わる可能性があります。
難症例とは:日本補綴歯科学会症型分類 LevelⅢ、Ⅳ、すれ違い咬合、高度顎堤吸収症例義歯調整・簡単な修理に関しては1回あたり3,300円の費用がかかります。
保証期間以降について:修理費は実費+調整料(11,000円)
症例2:下顎片側遊離端欠損症例

左下2本が欠損した状態です
左下2本が欠損した状態は、机でいう一つの足を失った場合であるB1と同じ状況です。
足が1本なければ、どうなってしまうかイメージしてみて下さい。
今回はその1本を作ることが、補綴治療の本来の目的となります。
噛みしめた時には、体重に近い力がかかると言われています。
本来であれば4本で均等に分散し噛む力を受けとめますが、1箇所の支えがないことで、他の3箇所には大きな負担がかかり、問題を生じやすくなります。
また欠損部分を放置することで

かみ合わさる下顎の歯がないため、上顎歯の伸び出し(てい出)などの変化が生じる可能性があり、状況がより複雑となります。
こうなってしまっては、補綴治療(ミラクルデンチャー、インプラントなど)の種類に関わらず、反対側の歯への対応も必要となります。
このことはミラクルデンチャーのみで対応できる部分ではありません。
義歯治療が3〜4回で終わる方もいれば、半年から数年と長い方もおられます。
これは残存歯の状況が大きく関わりその対応に期間が必要になるからです。
期間が増えれば、必要な費用も増加してしまいます。
そのため欠損放置が長いければ長いほど、いろいろなところに悪影響が出やすいため、早めの対応をお勧めしています。
欠損後早めに対応
保険適応義歯を装着した状況
ミラクルデンチャーを装着した状況
欠損後放置

上顎歯が伸び出しスペースがなくなった状態
通常の保険適応義歯で対応する場合
片側義歯では後方が沈み、かつ左右に動いてしまいやすい
金属の通るスペース1mm程度が必要
前方の2歯、もしくは3歯にクラスプ(金属製のひっかけ)を設置し、義歯を装着します。
クラスプが通るスペースが必要であり、歯牙を削る必要があります。
歯の形や傾きに問題がある場合は、義歯を安定させることが更に困難となり、食事中に動く、ものがつまるといった要因となります。
義歯が動くということは、支えとなる歯にも負担となります。
そのため支えとなる歯も、悪くしてしまう原因となる場合もあり、欠損を拡大していまう要因にもなります。
ミラクルデンチャーの場合
片動きを減少させる装置を使用
歯牙の削合は最小限で
損歯前方の歯を根本から支えるため、歯への負担を軽減できます。
また歯牙の削合は最小限で行えます。
基本はFitⅢですが、金属床タイプ(FitⅤ)であれば、義歯の違和感を軽減でき、強度も増すことが可能です。
従来より義歯の動きを抑制できますが、完全に0には出来ません。
動きを更に抑えたい場合は、反対側につながる両側設計が必要となります。
左下2歯欠損症例についてのまとめ
従来の義歯では、義歯を維持させるクラスプを最低前方2歯に設置する必要があり、そのスペース確保のために義歯治療であっても大きく歯を切削する必要がありました。
そこまでして製作した義歯でも装着後に安定感が十分には得られにくいのが、片側後方欠損の特徴です。
(専門的には片側遊離端欠損は義歯の最難関症例と言われています)ミラクルデンチャーでは独自のキーとロックという装置を使用することで従来義歯より安定感が向上します。
私見
インプラントが可能であれば、このような少数歯欠損ケースでは第一選択はインプラントかもしれません。
ただし、インプラントが不可能な場合や、費用を抑えたい場合はミラクルデンチャーはコストパフォーマンスにも優れた義歯と言えます。
インプラント費用の1/3程度で可能
ミラクルデンチャー 費用:30万〜
インプラント2本分 費用80〜100万円程度
症例3:最後臼歯(下顎第2大臼歯)1歯欠損症例
一番後ろの大臼歯が1本欠損している状態
40代以降で親知らず以外で初めて抜歯をせざるを得ない歯は、最も後方の歯である第2大臼歯(7番)であることが多いです。
第2大臼歯は噛みしめの際に顎を安定させる役割があり、食べ物の咀嚼には頻繁に使われ、大きな力がかかる歯です。
しかしその歯の抜歯後には、そのことで全く噛めないようになり日常生活に大きな支障が出たという方はあまりいないと思います。
また実際にその部分に歯に代わる補綴治療を行うのは大変難しく、患者さんの負担も大きいため抜歯したまま何も対応をしないという場合が実際はほとんどではないでしょうか。
第2大臼歯欠損補綴が難しい理由
01.延長ブリッジ
1歯部分を補うために前方の2歯を削合する必要がある。
力学的にも支えとなる前方の歯への負担が大きい。
02.通常の義歯
前方歯に対して大きなクラスプの設置が困難クラスプを設置するために切削する量がかなり必要となる。
03.インプラント
抜歯後にインプラントに必要な十分な骨量がない場合が多い。
1番奥になるためインプラント後もブラッシングがしにくくトラブルの誘因になることがある。
海外でもshort dental archという考え方があり後方歯を抜歯した後は、無理をして補綴治療しないで、本来よりは短い短縮歯列で過ごして頂くという考え方もあります。
ただそれには反対意見も多くあります。
抜けたまま放置しておくと、対合歯がてい出し、歯並びが代わってくるだけでなく、咀嚼の際に、顎の安定が低下し気付かないうちに妥協的な咀嚼行動になるため、本来の噛み方とは異なってしまう場合があります。
本来、歯は28本(親知らず以外で)ありそれぞれの歯がスクラムを組んで、歯列を形成し噛む力を受け止めています.噛む力は体重に近い力がかかりますが、歯の欠損が生じると現存歯には徐々に負担が増えることで、その後の他部位での抜歯の誘因となり、さらに欠損を拡大させ、さまざまな悪影響の最初の1歩となりえます。
欠損放置は、将来的にはご家族への負担増加となりえます

保険適応義歯の場合
義歯を止めるためのクラスプ(金属製)が最低2つは必要です。
クラスプが入るスペースが必要で前方歯を削合する必要があります。
義歯の大きさ自体も大きく製作する必要があります。違和感が大きくなり誘因となります。
ミラクルデンチャーの場合
しなやかさが特徴である白金加金ワイヤーを応用し、コンパクトな義歯を製作します。
歯牙の切削は、不要もしくは最小限での対応が可能となります。
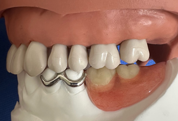
保険適応義歯とミラクルデンチャーの比較
保険適応義歯
保険適応義歯
クラスプの大きさ・太さに注目
義歯本体の大きさに注目
第2大臼歯欠損にミラクルデンチャーを用いるメリット
01.歯をほとんど削らない
義歯の安定に必要な部分が小さいため、前方の歯を削合しない、もしくは削合量が従来の義歯と比較して大幅に少なくできる
02.治療回数が少ない
03.メインテナンスがしやすい
第2大臼歯欠損にミラクルデンチャーを用いるデメリット
01.費用 保険適応外
02.小型の装置のため、誤飲のリスクがないとは言えない(当院では経験なし)
私見
義歯の装着を受け入れ、費用が許せばミラクルデンチャーを装着することが最も良い方法であり、無理をしてインプラントを行うよりまず始めに試してみることがいいかと思います。
(義歯自体に違和感が強く出る方はミラクルデンチャーでも厳しいかもしれません)
歯科医師を20年以上していますが、もし自分の下顎第2大臼歯が欠損した場合は、今までは、何もしないという対応だったと思いますが、ミラクルデンチャーを取り扱うようになって考えが変わりました。
今であれば、欠損部の前方歯と対合歯を守るためにもミラクルデンチャー(P7)を装着します。
インプラントが問題なく実施可能な場合を除いて、ミラクルデンチャー(P7)は、第2大臼歯欠損に、最も適した対応方法といえます。